Kosten Tandarts Gaatje Vullen

Kosten Tandarts Gaatje Vullen. De tandarts kan door vullingen gaatjes oplossen Ontdek wat het kost om een gaatje te laten vullen bij de tandarts in 2024 volgens de door de Nederlandse Zorgautoriteit (NZa) gepubliceerde tandartstarieven Koninklijke Nederlandse Maatschappij tot bevordering der Tandheelkunde

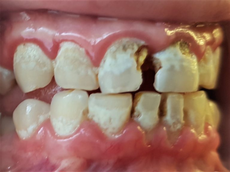
Een gaatje vullen bij de tandarts? Alles wat je moet weten! KT3
Een gaatje vullen bij de tandarts? Alles wat je moet weten! KT3 from kt3-tandartsen-zaandam.nl

Eénvlaksvulling / gaatje vullen: V71: € 29,75: Tweevlaksvulling amalgaam: V72: € 47,17: Tand of kies. De eerste factor is het aantal vlakken dat gevuld moet worden

Een gaatje vullen bij de tandarts? Alles wat je moet weten! KT3

Een overzicht ter verduidelijking: Code Omschrijving Tarief 2025; V-codes: Vullingen Ontdek wat het kost om een gaatje te laten vullen bij de tandarts in 2024 volgens de door de Nederlandse Zorgautoriteit (NZa) gepubliceerde tandartstarieven De kosten van het vullen van een gaatje ligt tussen de € 41,23 en € 106,53

Tandarts Antwerpen Tandarts Luc Ooms gaatjes vullen, kronen plaatsen. De tandarts is als mondzorg zorgverlener essentieel om je tanden en kiezen te controleren. Hoe meer vlakken er gevuld moeten worden, hoe hoger de kosten

Tandarts Antwerpen Tandarts Luc Ooms gaatjes vullen, kronen plaatsen. Tot je 18 e krijg je de kosten van het vullen van een gaatje volledig vergoed vanuit het basispakket van je zorgverzekering De eerste factor is het aantal vlakken dat gevuld moet worden